When Does Your Child Need to See an Orthodontist?

Bortnem Orthodontics is proud to be your solution for empowering smiles and elevating confidence in and around Benbrook. At Bortnem Orthodontics, we treat smiles of all sizes, and your kids can sometimes get a big boost from early treatment. But when does your child need to see an orthodontist? Read on to find out!  

Early Treatment for Healthy Smiles – Phase 1 

Did you know that Dr. Eric, Dr. Lena, and the American Association of Orthodontists (AAO) recommend that children have their first check-up by age seven? It’s true! While that may seem young, it’s actually the perfect time to evaluate your child’s smile and see if they’d be right for early interceptive treatment, also known as phase 1 treatment

Why Age Seven?

At this age, children have enough permanent teeth for Dr. Eric and Dr. Lena to determine if an early orthodontic treatment is necessary. It’s the perfect time to address issues that are easier to correct if caught early. This doesn’t mean all children will need treatment at that time (in fact, most won’t), but it’s a critical time for spotting and preventing potential problems.

Goals of Phase 1 Treatment

The primary goal of Phase 1 treatment is to create a more favorable environment for the incoming permanent teeth. This may involve addressing overcrowding, bite discrepancies, or other alignment issues. By starting treatment early, Dr. Eric and Dr. Lena can guide the jaw’s growth, lower the risk of trauma to protruded front teeth, and correct harmful oral habits.

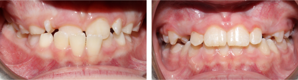
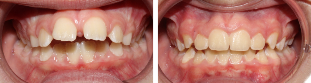
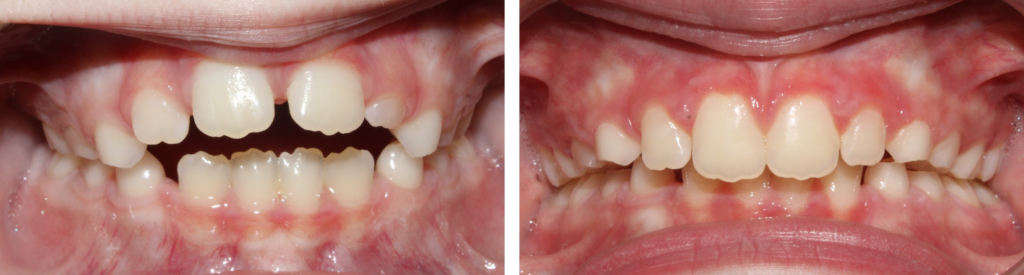
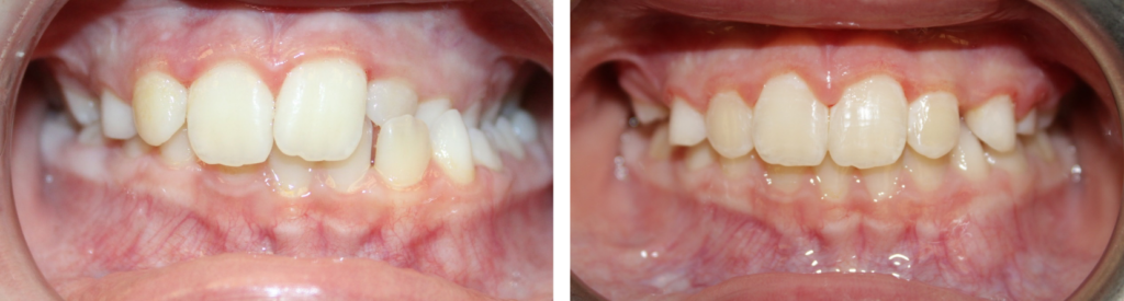
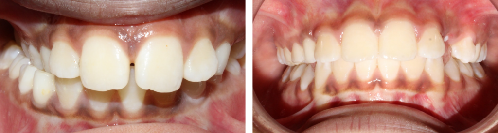
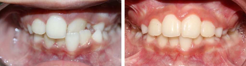
Some Before & After Pictures of Our Patients Treated with Phase 1:

Anterior Crossbite

Open Bite

Posterior Crossbite

Excessive Crowding

Our Approach

At Bortnem Orthodontics, early interceptive treatment is tailored to each child’s unique needs. Dr. Eric and Dr. Lena use a combination of approaches, such as expanders, partial braces, or clear aligners, to make subsequent treatments shorter and less complicated. This proactive approach can significantly enhance a child’s oral health and well-being.

When Does Your Child Need to See an Orthodontist?

Exploring Types of Phase 1 Treatments

Early orthodontic treatment is not a one-size-fits-all solution. It can include a variety of approaches depending on your child’s specific needs. Their smile is as unique as they are – why should their treatment be any different? 

Fixed Appliances

For more complex alignment issues, fixed appliances like braces might be necessary. Bortnem Orthodontics offers cutting-edge metal braces equipped with the latest technology to ensure comfort and effectiveness during treatment.

Custom Appliances

Some children may require custom appliances to correct specific problems such as a narrow palate, thumb sucking, or tongue thrusting. These are part of Phase 1 treatment and are designed to ensure the proper development of the mouth and jaw. We make use of specialty appliances such as rapid palatal expanders, the Herbst Appliance, and others whenever necessary. 

We’ll make sure that your child has all the advantages they need when it comes to their smile! 

Small Smile Tips: Getting the Most Out Of Early Orthodontic Treatment

Developing great oral health habits during early orthodontic treatment is important for every younger smile. Here are some tips designed specifically for younger patients under treatment at Bortnem Orthodontics.

Daily Care Routines

Teach your child the importance of brushing twice a day and flossing regularly. Using tools designed for kids, such as electric toothbrushes and flossers, can make this more fun and effective.

Eating Right

Eating habits are crucial when undergoing any orthodontic treatment. Avoid sticky and hard foods that can damage braces. Dr. Eric and Dr. Lena recommend a diet that supports dental health, including plenty of vegetables, dairy products, and water. 

Regular Check-Ups

It’s important to make sure your child visits Bortnem Orthodontics regularly. These visits aren’t just for adjustments but are a big part of your child’s oral care plan, allowing Dr. Eric or Dr. Lena to monitor the progress and make any necessary changes to the treatment plan.

When Does Your Child Need to See an Orthodontist?

Frequently Asked Questions About Early Orthodontic Treatment

Q: At what age should my child first visit an orthodontist?
A: The American Association of Orthodontists recommends that children have their first orthodontic visit by the age of 7. This allows Dr. Eric, Dr. Lena, and the team at Bortnem Orthodontics to identify any issues early and plan accordingly.

Q: What are the signs that my child might need early orthodontic treatment?
A: Some signs to watch for include difficulty chewing or biting, mouth breathing, thumb sucking beyond age five, crowded or misplaced teeth, and jaws that shift or make sounds.

Q: What are the benefits of Phase 1 Treatment?
A: Phase 1 Treatment aims to correct growth discrepancies, guide the growth of the jaw, help permanent teeth to come in properly, minimize the risk of damage to protruded front teeth, and correct harmful oral habits.

Q: Are clear aligners suitable for children?
A:
Yes, clear aligners can be designed specifically for children. It addresses a broad range of orthodontic issues with a near-invisible appearance and more comfort, making it a preferred option for children and their parents.

Q: How long does Phase 1 Treatment typically last?
A: The duration of Phase 1 Treatment varies depending on the individual needs of the child but typically lasts about 9-18 months. After this phase, Dr. Eric or Dr. Lena will determine if additional treatment is necessary.

Q: How can I make orthodontic care easier for my child?
A: Encourage good oral hygiene practices, provide a braces-friendly diet, and maintain regular check-ups with Bortnem Orthodontics. Engaging your child with fun toothbrushes and flavored floss can also make dental care more enjoyable and effective.

When Does Your Child Need to See an Orthodontist?

Ready to Start Smiling?

We hope we’ve given you a better understanding of the ins and outs of early interceptive care, and just how much your child stands to benefit from checking in with Dr. Eric or Dr. Lena by age seven. But do you still have some questions? Perfect! Go ahead and give us a call at our Benbrook office, or just fill out this convenient online form to schedule your free consultation! We’re excited to meet you!